得了扁平疣会有哪些的症状
文章来源:东莞莞南皮肤病专科发布时间:2020-09-29
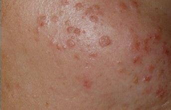
扁平疣,是瘊子疾病中的一种,又称为“扁瘊”,是常见的皮肤赘生物,好发于青年人颜面、手背和前臂呈针头至黄豆大的扁平丘疹,一般无自觉症状,有时有轻度瘙痒感,皮疹逐渐增加,病程缓慢,自身传染。可通过直接或间接的接触传染。那么得了扁平疣会有哪些的症状,下面我们请东莞莞南皮肤病专科的医生给大家讲解一下。

医生指出:
1、在刚刚开始发病的时候,病毒比较活跃,皮损的发展以及增多比较的快,能够迅速的发展到身体的接触部位。
2、扁平疣在刚刚发病的时候经常会被手搔抓,这个时候疣体表面和正常皮肤会出现轻微的破损,疣体中含有大量的活跃的病毒,搔抓破后就使得病毒会感染破损的正常皮肤。
3、扁平疣一般来说比较好发生在颜面、手背以及前臂等处,一般来说扁平疣会是正常的皮色或者是浅褐色的扁平丘疹,表面一般来说比较光滑,境界比较明显。
温馨提示:注意有效的皮肤防护,避免外伤及皮肤破损,对皮肤粘膜破损处应妥善处理,防止病毒乘虚而入。更多详情请拨打免费咨询预约挂号电话:167-5384-0120。
- 上一篇:扁平疣临床上会有哪些症状表现
- 下一篇:扁平疣需要怎样护理

网上预约 优先就诊
医院地址:东莞市南城区城市风景街11栋111号
门诊时间:周一至周日 8:00-20:00















